
| 货号# | 产品描述 | 血清型 |
|---|---|---|
| RS-AAV1-FL | AAV1 reference materials (full capsids), 3.42x10^11GC/mL, 100 uL | AAV1 |
| RS-AAV2-FL | AAV2 reference materials (full capsids), 1.03x10^11GC/mL, 100 uL | AAV2 |
| RS-AAV5-FL | AAV5 reference materials (full capsids), 1.94x10^11GC/mL, 100 uL | AAV5 |
| RS-AAV6-FL | AAV6 reference materials (full capsids), 2.56x10^11GC/mL, 100 uL | AAV6 |
| RS-AAV8-FL | AAV8 reference materials (full capsids), 3.53x10^11GC/mL, 100 uL | AAV8 |
| RS-AAV9-FL | AAV9 reference materials (full capsids), 2.18x10^11GC/mL, 100 uL | AAV9 |
血清型特异性AAV标准品是使用无辅助病毒法,三质粒瞬时转染制备的。通过超速离心分离完整的衣壳,然后进行色谱纯化。使用基于分子的方法和透射电子显微镜(TEM)对病毒颗粒进行分析,以对病毒载体进行充分的表征,包括滴度定量和完整衣壳/空衣壳比。AAV标准品内的是CM基因负载是CMV-GFP。
AAV标准品(完整衣壳)表征:鉴别和纯度、每毫升病毒颗粒、每毫升载体基因组以及完整衣壳/空衣壳比。每种血清型AAV标准品的每批次从几千管到数万管不等。
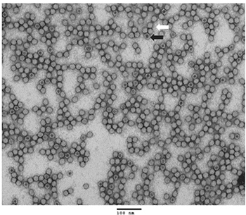
图1。纯化的AAV9标准品的TEM(透射电子显微镜)图像。完整的衣壳显示为白色球体(白色箭头),而空的衣壳则显示为中心有黑点的球体(黑色箭头)。
图2。AAV标准品(完整衣壳)的银染。将AAV标准品上样在Bis-Tris SDS-PAGE凝胶上。用银染法检测蛋白质。
AAV标准品的稳定性已通过一项独立的稳定性研究得到证明(rAAV, 3E+12 GC/mL)。AAV载体在-80℃下储存2年。通过qPCR和ELISA测定,病毒基因组滴度和总病毒颗粒滴度没有变化。
AAV标准品(完整衣壳)的稳定性研究将以持续的方式进行。qPCR测定将在-80℃储存后的3个月、6个月和之后每年进行一次。